Menu
Home
Office Info
About Our Doctor
Meet Our Staff
Office Tour
Locations
New Patients
Patient Forms
First Visit
Financial/Insurance
FAQ
Your Braces
Metal/Clear Braces
Brace Diagram
FAQs
Before and After
Smile Gallery
Types of Appliances
Why Braces?
Invisalign
Invisalign
Invisalign Teen
Invisalign FAQs
Contact Us
Home
Office Info
About Our Doctor
Meet Our Staff
Office Tour
Locations
New Patients
Patient Forms
First Visit
Financial/Insurance
FAQ
Your Braces
Metal/Clear Braces
Brace Diagram
FAQs
Before and After
Smile Gallery
Types of Appliances
Why Braces?
Invisalign
Invisalign
Invisalign Teen
Invisalign FAQs
Contact Us
Dr. Bath Orthodontics
703-938-4614
2535 Chain Bridge Rd.
737 Walker Rd.
703-938-4614
2535 Chain Bridge Rd.
737 Walker Rd.
Facebook
Before and After
Skip Sidebar Navigation
Your Braces
Metal/Clear Braces
Brace Diagram
FAQs
Before and After
Smile Gallery
Types of Appliances
Why Braces?
Last item for navigation
Our Finished Results
(Actual Patients)
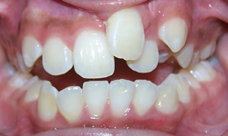
Crowding:
Before
After
Before
After
Before
After
Before
After
Before
After
Before
After
Before
After
Spacing:
Before
After
Under Bite:
Before
After
Before
After
Deep Over Bite:
Before
After
Before
After
Open Bite:
Before
After
Crowding:
Before
After
Before
After
Before
After
Before
After
Over Jet:
Before
After